Affordable Dental Crown & Bridges

Dental Crown and Bridge Dubai

Advanced Crown & Bridge Solutions

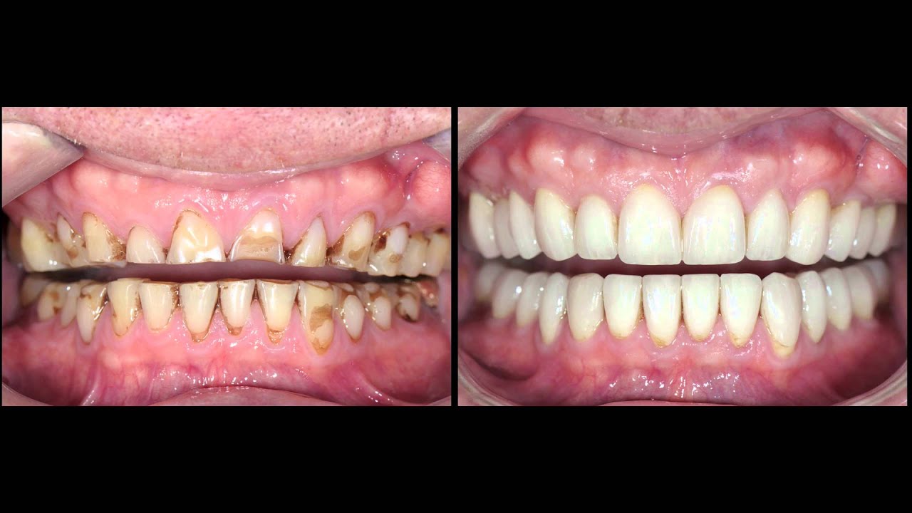
Dental Crown & Bridge treatment restores damaged or missing teeth using durable, natural-looking materials. At Cosmocare Medical Center, we ensure precision fitting, comfort, and long-lasting results, helping you smile with confidence and enjoy optimal oral health.

Modern crown and bridge materials such as zirconia and porcelain provide a highly aesthetic and durable solution that blends naturally with your existing teeth. These advanced materials are strong, stain-resistant, and designed to last for many years with proper care.

With proper oral hygiene and regular dental checkups, crowns and bridges can significantly improve both the health and appearance of your smile. They offer a comfortable, reliable, and long-term solution for patients looking to restore their teeth and regain full confidence in their smile.

Dental Bridge Dubai
Dental Bridge Dubai

Benefits of Crown & Bridge

Restores Tooth Strength

Protects weak teeth and prevents further structural damage.

Improves Smile Appearance

Natural shade matching ensures a seamless, beautiful smile.

Enhances Chewing Function

Restores proper bite alignment, making eating more comfortable.

Prevents Teeth Shifting

Maintains alignment of surrounding teeth after tooth loss.

Durable & Long-Lasting

High-quality materials ensure crowns and bridges last for years.

Boosts Confidence

Restores a natural smile and enhances overall facial aesthetics.

Ready to Restore Your Smile?

Book your expert consultation today at Cosmocare Medical Center and get the smile you deserve.

Book Appointment